Case photos (Some of the thousands of photos of our patients)

Select Disease from the below drop-down list



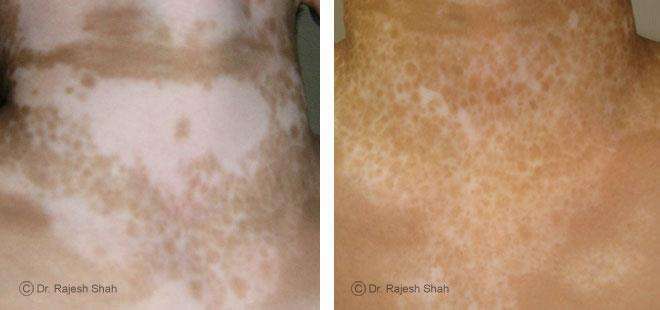
Some of the illustrative case photos of patients treated and documented at Life Force



Life Force Logo

Head Center

409 Krushal Comm. Complex, Above Westside,
G M Road, Chembur, Mumbai 400089. India
Phone: +91-22-67978289
Phone: (US - Canada only): +1-315-351-0898
Email: info@lifeforce.in

Follow Us

*Please note that results and duration of treatment may vary depending on the constitution of your body.