Dr. Rajesh Shah's Insights on Tonsillitis
Dr. Rajesh Shah believes that tonsillitis is more than just a sore throat; it is often a sign that the body’s immunity needs strengthening. Based on years of clinical experience, he has observed that understanding individual triggers and using homeopathy may help many patients avoid surgery.
Tonsils become inflamed as they actively fight bacteria and viruses. They serve as the body’s natural defenders and play an important role in immune protection, so preserving them is preferable to removing them whenever possible. Homeopathic treatment focuses on improving immune response and reducing susceptibility to repeated infections, thereby helping prevent many cases of recurrent tonsillitis and supporting long-term throat health.
180+
We have treated patients from over 180 countries
375+
Over 375+ patients of Tonsillitis Patients Treated (Nov 2025)
30+
Team of Expert Doctors
40+
Years of Experience
100% Satisfaction
If you are not satisfied after 6 weeks of treatment, you may return the unused medicines and request a refund for the unused portion of services, in accordance with our policy. No cure is assured within six weeks. For full terms, please visit our Detailed Refund Policy page.
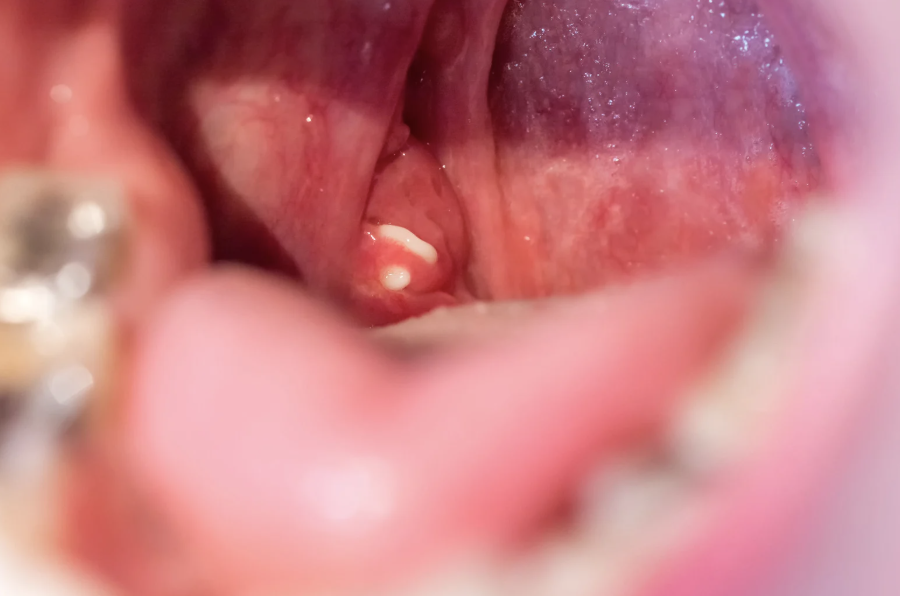
What is Tonsillitis?
Tonsillitis is the inflammation of the tonsils. Tonsils are two oval-shaped pads of lymphoid tissue located at the back of the throat and form an important part of the immune system. They act as filters by trapping bacteria and viruses that could otherwise enter the airways and cause infection. Tonsils also help the body by producing antibodies to fight infections.
Tonsillitis can be caused by viral or bacterial infections. When the immune system is weakened, the body becomes more susceptible to these infections, and the tonsils may swell and become inflamed as they actively fight invading pathogens.
Understanding Tonsillitis
Types of Tonsillitis
Acute Tonsillitis
Sudden inflammation of the tonsils causing severe throat pain, fever, and difficulty swallowing.
Chronic Tonsillitis
Persistent tonsil inflammation leading to repeated sore throats and recurrent tonsil infections.
Recurrent Tonsillitis
Multiple tonsillitis episodes in a year with recurring throat pain and infections.
Peritonsillar Abscess
Collection of pus near the tonsil causing intense pain, swelling, and difficulty opening the mouth.
Our Expertise
- With over 40 years of clinical experience under the guidance of Dr. Rajesh Shah, Life Force Homeopathy has documented hundreds of tonsillitis cases from more than 180 countries, treated through our global online platform and our clinics in Mumbai, Pune, and Bangalore.
- Our approach focuses on strengthening immunity and preserving the tonsils whenever possible, recognizing their vital role in the body’s natural defense system. Saving the tonsils is our motto.
- Based on extensive clinical experience, we offer Homeopathic treatment for Tonsillitis as a supportive option for individuals suffering from recurrent tonsillitis. Patented, research-based homeopathic medicines further support our success.
- You may click the links below to explore peer-reviewed research publications by Dr. Rajesh Shah:
- Research Publications – Link 1
- Research Publications – Link 2
Homeopathy for Tonsillitis
Homeopathy for tonsillitis focuses on enhancing the body’s natural healing response and strengthening immunity. Remedies are selected after evaluating symptoms, triggers, and individual health patterns. This gentle approach aims to reduce the incidence of tonsillitis, manage recurrent episodes, and improve overall throat health without suppressing natural defenses.
Case Studies
Tonsillitis
14 years old boy with complaints of recurrent tonsillitis since childhood. Every 2-3 months he would develop tonsillitis and would require frequent courses of antibiotics. Advised for tonsillectomy by his physician
Master. S. M (Patient Ref. No. L-6917) a 14 years old boy was brought to the clinic by his parents…
Tonsillitis
Complete Recovery From 10 Years Persistent Tonsillitis In 6 Months Of Homeopathic Treatment
A 13-years-old girl, Miss. S.S (PIN 10818) visited Life Force on 7th March 2017 to get treated for her recurrent…
Tonsillitis
Ice-creams no more causing throat pain. Hundred percent recovery in case of recurrent tonsillitis
Seven-year-old female child, Ms K.P.S (Patient Identification Number: 23413) visited Life Force homeopathy on 25th August 2014 for her complaints of…
-
Alopecia Areata
-
Ankylosing Spondylitis
-
Asthma
-
Child Asthma
-
Eczema
-
Frequent Colds
-
GERD
-
Hair Fall
-
Hepatitis C
-
Irritable Bowel Syndrome (IBS)
-
Lichen Planus
-
Nephrotic Syndrome
-
Psoriasis
-
Sleeplessness
-
Trigeminal Neuralgia
-
Ulcerative Colitis
-
Underactive Thyroid
-
Urticaria
-
Vitiligo
Your Curability Test Guide
Learn about the curability test and begin by selecting your condition from the left

STEP 01
Select your condition

STEP 02
Submit the Form

STEP 03
Get report Instantly
Clinically, homeopathic medicines have been found helpful in managing both acute and recurrent tonsillitis. In many cases, homeopathic treatment may help reduce the frequency of infections and, in some patients, may help delay or avoid the need for surgery.
Homeopathic treatment for recurrent tonsillitis may be required for around eight to fifteen months. The exact duration varies from patient to patient, depending on factors such as severity, frequency of episodes, and overall immunity.
Yes. Repeated infections of the upper respiratory tract, including the tonsils, are quite common in children.
Common symptoms of tonsillitis include throat pain, runny nose and cough, fever with chills, reduced appetite, and a general feeling of tiredness or lethargy.
The aim of homeopathic treatment is to support and strengthen the body’s natural immune response. Certain homeopathic medicines are known to have antibacterial and antimicrobial properties, which may help reduce the frequency and severity of recurrent infections.
Research studies by Dr. Rajesh Shah and his team have explored the antimicrobial and antibacterial effects of homeopathic medicines. Relevant research papers are available for further reading.
- https://pmc.ncbi.nlm.nih.gov/articles/PMC11913335/
- https://pubmed.ncbi.nlm.nih.gov/34020481/
As immunity improves with homeopathic treatment, many patients experience fewer episodes of tonsillitis. This may reduce dependence on repeated courses of antibiotics over time.
If recurrent tonsillitis is left untreated, it may continue to affect general health and, in children, may impact growth and development. In some cases, untreated bacterial infections can lead to complications affecting the heart, joints, or kidneys.
Avoid known triggers such as chilled drinks, very cold foods, and exposure to cold air or drafts. Homeopathic treatment is known to help reduce the frequency of tonsillitis episodes in many children.
Conventional treatment primarily uses antibiotics to control bacterial infections. Homeopathic treatment focuses on strengthening the body’s immune system to reduce the recurrence of infections and support long-term management.
Related Diseases
Ask Dr. Rajesh Shah
Dr. Rajesh Shah, MD (Homeopathy), is a renowned Mumbai-based homeopath, recognized for treating patients from 180 countries, including celebrities and underprivileged individuals.
Contact Our Nearest Clinic